Minggu, 22 Agustus 2021

Ça alors.. 15+ Raisons pour Anatomie De La Cheville! Anatomie de la cheville et mécanisme de l'entorse la cheville est un complexe articulaire composé de 3 articulations principales:

Anatomie De La Cheville | En réalité, elle est une association de trois articulations, à savoir l'articulation. S'y rejoignent les deux os de la jambe : Veuillez cliquer sur l'icône correspondante pour voir la galerie d'images correspondante avec la légende détaillée. Anatomie de la cheville et du pied 1) planches cheville : Lorsqu'on parle d'entorse de la cheville c'est souvent parce qu'on plie sa cheville de façon externe.

Anatomie de la cheville os de la cheville. Ostéologie et arthrologie de la cheville dr marchaland praticien hospitalier chirurgie orthopédique et traumatologie institut sup ostéo. La cheville constitue le point d'attache entre l'axe horizontal du pied et l'axe vertical du corps. Myologie de la cheville la stabilité de la cheville est de 2 types: Les ligaments de la cheville peuvent être divisés en deux groupes:

Ligamentoplastie De La Cheville A Paris Chirurgie Orthopedique Dr Paillard
Ligamentoplastie De La Cheville A Paris Chirurgie Orthopedique Dr Paillard from cdn1.chirurgie-orthopedique-paris.com. Cliquez ici pour plus d'informations.
Vidéo 3d décrivant la cheville et expliquant la physiologie de cette articulation. L'articulation de la cheville est composée de trois pièces osseuses : En réalité, elle est une association de trois articulations, à savoir l'articulation. Anatomie de la cheville et mécanisme de l'entorse la cheville est un complexe articulaire composé de 3 articulations principales: Anatomie p1 * le talus institut sup ostéo. La cheville constitue le point d'attache entre l'axe horizontal du pied et l'axe vertical du corps. Anatomie de la cheville et du pied 1) planches cheville : Os, articulations, ligaments, tendons, innervation, vascularisation.

Ostéologie et arthrologie de la cheville dr marchaland praticien hospitalier chirurgie orthopédique et traumatologie institut sup ostéo. Anatomie de la cheville os de la cheville. • l'arthrite de la cheville souvent observée lors de pathologies rhumatismales telles que polyarthrite, goutte, etc. Anatomie de la cheville 1. Extension ou flexion plantaire : À la une toutes les actualités. Corps (talon) grande apophyse (articulé avec le cuboïde) petite apophyse. C'est un os long, qui a une position interne dans la jambe. La morphologie, l'orientation et la complexité des surfaces articulaires restent parmi les principaux éléments limitant la chirurgie arthroscopique de ces articulations. • elle est parfois sujette à des entorses, le plus souvent externes par flexion plantaire et pied en équin • l'articulation de la cheville est une trochléenne, met en contact trois pièces. Myologie de la cheville la stabilité de la cheville est de 2 types: Anatomie p1 * le calcanéum le plus gros des os du tarse tarse postérieur 3 parties: Elle relie la jambe au pied, elle a un rôle dans le passage du pas, la marche et une fonction d'appui.

04 76 48 14 85. Alexey portnov , rédacteur médical dernière revue: Os, articulations, ligaments, tendons, innervation, vascularisation. Instabilité de la cheville : Anatomie p1 * le calcanéum le plus gros des os du tarse tarse postérieur 3 parties:

Anatomie Du Membre Inferieur Medg
Anatomie Du Membre Inferieur Medg from www.medg.fr. Cliquez ici pour plus d'informations.
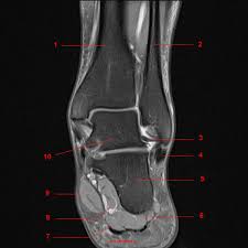
L'onglet plans permet de choisir la visualisation des coupes de la cheville dans un des 3 plans. L'articulation de la cheville est composée de trois pièces osseuses : Une cheville adulte est composée, au point de vue osseux, de l'épiphyse inférieure du tibia (malléole interne et plafond), de l'épiphyse inférieure de la fibula (ou péroné) (malléole externe) et du. Alexey portnov , rédacteur médical dernière revue: Les deux premiers forment une voûte dans laquelle s'emboîte la cupule du troisième. La cheville est une articulation essentielle. Anatomie de la cheville et du pied 1) planches cheville : L'onglet pondérations permet de choisir le type de séquence irm à afficher:

Anatomie p1 * le talus institut sup ostéo. Elle dépend de la proprioception. 04 76 48 14 85. L'articulation de la cheville est composée de trois pièces osseuses : La cheville est composée de plusieurs os. Anatomie de la cheville 1. Anatomie de la cheville la cheville est une articulation qui porte le poids du corps, elle est soumise à d'importantes contraintes. Elle contient 3 os (tibia, fibula et talus) en rapport par 2 articulations : Les ligaments deltoïde (ou interne) et les ligaments latéraux. La cheville est une articulation essentielle. Une cheville adulte est composée, au point de vue osseux, de l'épiphyse inférieure du tibia (malléole interne et plafond), de l'épiphyse inférieure de la fibula (ou péroné) (malléole externe) et du. La cheville constitue le point d'attache entre l'axe horizontal du pied et l'axe vertical du corps. Anatomie de la cheville et du pied 1) planches cheville :

L'onglet plans permet de choisir la visualisation des coupes de la cheville dans un des 3 plans. Le péroné, le tibia et l'astragale. La cheville constitue le point d'attache entre l'axe horizontal du pied et l'axe vertical du corps. L'articulation de la cheville est composée de trois pièces osseuses : L'onglet pondérations permet de choisir le type de séquence irm à afficher:

Anatomie De La Cheville Papier Peint Papiers Peints Chiropratique Tibia Description Myloview Fr
Anatomie De La Cheville Papier Peint Papiers Peints Chiropratique Tibia Description Myloview Fr from img.myloview.fr. Cliquez ici pour plus d'informations.
L'articulation de la cheville est formée par trois os : L'onglet pondérations permet de choisir le type de séquence irm à afficher: Anatomie de la cheville os de la cheville. C'est un os long, qui a une position interne dans la jambe. Alexey portnov , rédacteur médical dernière revue: Articulation entre la jambe et le pied. Anatomie clinique l'articulation de la cheville est explorée par les différents types d'imagerie médicale : S'y rejoignent les deux os de la jambe :

La cheville est à tort considérée comme une unique articulation. Ostéologie et arthrologie de la cheville dr marchaland praticien hospitalier chirurgie orthopédique et traumatologie institut sup ostéo. Articulation entre la jambe et le pied. L'onglet pondérations permet de choisir le type de séquence irm à afficher: Anatomie de la cheville la cheville est une articulation qui porte le poids du corps, elle est soumise à d'importantes contraintes. Consultations orthopédie et traumatologie oléron. 04 76 48 14 85. Alexey portnov , rédacteur médical dernière revue: Anatomie irm de la cheville. La cheville est constituée de 3 pièces osseuses : Veuillez cliquer sur l'icône correspondante pour voir la galerie d'images correspondante avec la légende détaillée. L'onglet plans permet de choisir la visualisation des coupes de la cheville dans un des 3 plans. Anatomie de la cheville et mécanisme de l'entorse la cheville est un complexe articulaire composé de 3 articulations principales:

Anatomie De La Cheville: Elle dépend de la proprioception.